Esperto nella cura Implantoprotesica e della parodontite disponibile a Fiano Romano e Passo Corese
Per chirurgia odontostomatologica, dal greco antico “odontos” (dente) e “stoma” (bocca) o più semplicemente chirurgia orale, si intende l’insieme delle terapie e dei trattamenti chirurgici effettuati all’interno del cavo orale, con l’obiettivo di risolvere casi clinici con patologie che non possono essere curate con farmaci o semplici trattamenti. La chirurgia orale ha diverse declinazioni a seconda dell’ambito d’intervento. Vi sono operazioni comuni e relativamente semplici come le estrazioni dentali, ad esempio l’estrazione del dente del giudizio o radici , ma anche interventi più complessi come l’implantologia orale e la parodontologia.
 
IMPLANTOLOGIA
La chirurgia implantare meglio conosciuta come implantologia, può essere definita come un intervento chirurgico atto a riabilitare la funzione masticatoria ed estetica in pazienti affetti da edentulia (mancanza di denti) parziale o totale. 
 
 Attraverso le nuove tecniche implantoprotesiche, oggi è possibile sostituire degli elementi dentali mancanti, mediante l’inserimento di manufatti in lega di titanio totalmente biocompatibili ad altissima tecnologia, direttamente all’interno dell’osso, su cui vengono poi istallate una o più protesi fisse, riabilitando da un singolo elemento dentale fino ad un’intera arcata, con risultati tali da soddisfare il paziente sia da un punto di vista estetico che funzionale. Possono distinguersi due tipi d’intervento:
 
 l’implantologia a carico differito e l’implantologia a carico immediato. Il primo è caratterizzato dall’inserimento della protesi solo ad osteointegrazione avvenuta, presupponendo un’attesa che varia dai tre ai sei mesi; il secondo invece dalla possibilità di inserire una o più protesi entro 24-72 ore dall’intervento.
 
 L’implantologia è la soluzione migliore per contrastare il riassorbimento dell’osso, ripristinare le funzioni masticatorie e tornare a sorridere con la garanzia di avere denti fissi e stabili nel tempo. Contrariamente alle grandi catene low cost, il nostro studio medico dentistico ha deciso di non puntare al continuo ribasso ma con serietà e dedizione, offrire la massima qualità presente sul mercato.
 
PARODONTOLOGIA
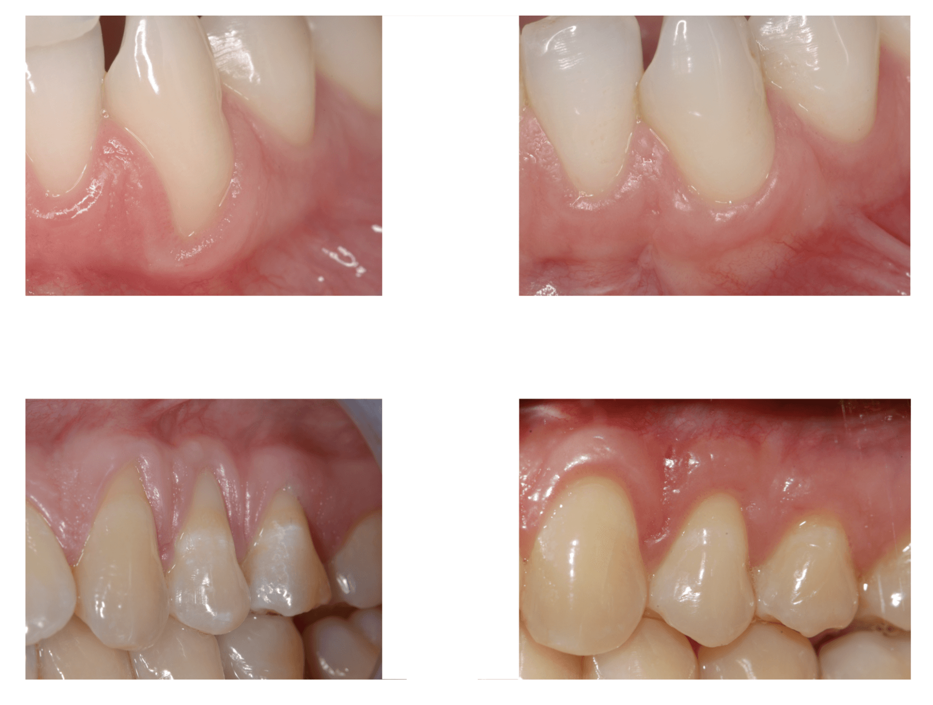
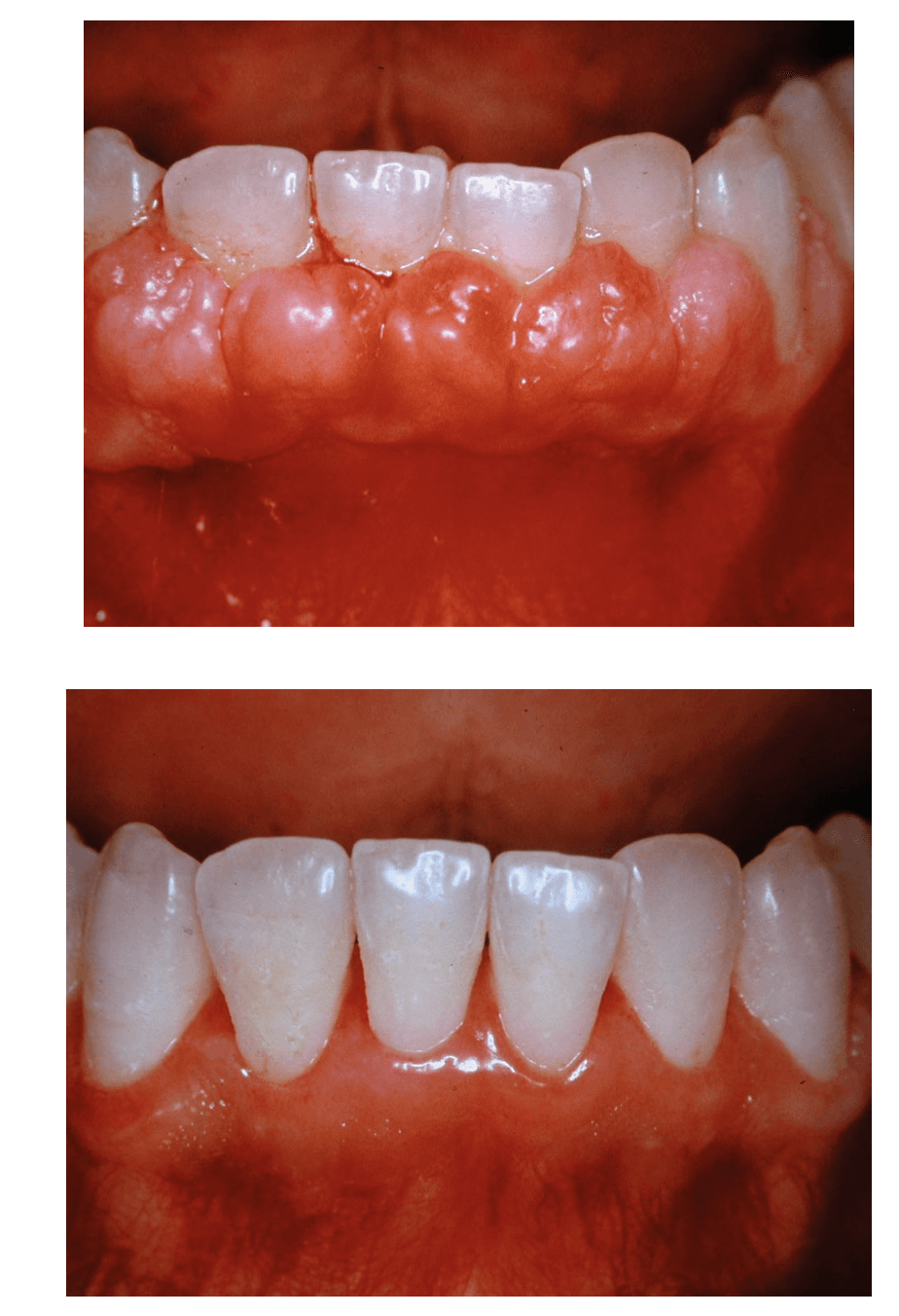
La malattia gengivale è un processo infiammatorio caratterizzato da un accentuato arrossamento, da gonfiore e sanguinamento della gengiva. La forma iniziale è la gengivite, un’infiammazione delle gengive causata da un accumulo di placca batterica. Se il paziente non osserva le manovre corrette di igiene e i controlli professionali, essa può progredire fino ad una condizione grave in cui il processo infiammatorio si estende in profondità fino all’osso di sostegno: la parodontite.  
 
Questa patologia rappresenta una delle cause della perdita di tessuto connettivo, del riassorbimento dell’osso alveolare e della formazione di tasche parodontali che possono condurre alla perdita dei denti ed è una delle cause più comuni della perdita dei denti negli adulti. Grazie alla chirurgia orale per queste tipologie di malattie infiammatorie che colpiscono il tessuto di sostegno del dente, vengono eseguiti dei trattamenti parodontali come il curettage ( ossia il procedimento di rimozione del tartaro o della placca dalla parete orale al di sotto della gengiva) o la levigatura delle radici a cielo aperto, o ancora interventi definiti rigenerativi per l’aumento dello spessore osseo, innesti gengivali, rimozioni di cisti dentali o tumori del cavo orale. Questa tipologia d’intervento consente di ricostruire il tessuto danneggiato o perso e può avvenire in contemporanea all’intervento implantare (rigenerazione ossea perimplantare) o prima di effettuare l’intervento stesso ( rigenerazione ossea preimplantare). La rigenerazione ossea può avvenire in due modi: tramite l’auto trapianto osseo, ossia il prelievo dell’osso da una parte del corpo del paziente e l’innesto nella gengiva, oppure si procede con l’applicazione di osso artificiale, realizzato in materiale sintetico e biocompatibile, che istallato nella gengiva e ricoperto da una membrana riassorbibile, si integra perfettamente con l’osso. Il nostro studio medico dentistico, grazie alla consolidata collaborazione con il dipartimento di parodontologia della facoltà di Odontoiatria dell’Università “La Sapienza “ di Roma e alla comprovata esperienza nel campo implantologico e parodontale è in grado d’intervenire con entrambe le modalità, garantendo al paziente la massima efficienza
 
Medicina Estetica
Giovani si diventa …… 
 
 Letteralmente filler significa “riempimento”. L’iniezione di filler è un trattamento di medicina estetica non invasivo che se ben eseguito può portare ad ottimi risultati finalizzati al ringiovanimento della pelle. I filler non sono tutti uguali e nel corso del tempo sono diventati sempre più innovativi efficaci e sicuri. L’acido ialuronico ed il collagene appartenenti alla categoria dei filler definiti “riassorbibili”, poiché l’organismo è in grado di riassorbirli con il passare del tempo, sono sicuramente quelli più apprezzati, il primo, per contrastare le rughe ed altri segni d’invecchiamento, il secondo, indicato per volumizzare le labbra e nel trattamento di cicatrici , assicurando nel contempo un effetto “soft-lifting” del tutto naturale. Un colloquio preliminare permetterà di valutare il tipo e la gravità dell’inestetismo da trattare per poter scegliere la tipologia di filler più adatto da utilizzare e grazie alle più innovative tecniche in uso nel nostro studio medico dentistico, ottenere con sedute  singole ed indolore,  eccellenti risultati.
 
Avete bisogno di maggiori informazioni sulla cura della parodontite? Compilate il 
 
 modulo di contatto
 

 
  
  
  
  
  
  
  
  
  
  
  
  
  
  
  
  
  
  
  
  
  
  
  
  
  
 



