Trattamenti di odontoiatria conservativa ed ondodonzia per adulti e bambini a Fiano Romano e Passo Corese
Diagnosi laser delle carie
Chi a tempo non aspetti tempo…..
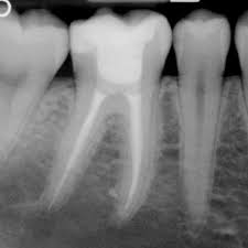
I trattamenti di odontoiatria per adulti e bambini proposti a Fiano Romano e Passo Corese dallo Studio Dentistico Dominici includono la conservativa, ovvero una branca della disciplina dentistica che punta appunto a conservare i denti, anche in caso di carie, fratture e altre problematiche. Secondo l’organizzazione mondiale della Sanità la carie è la malattia cronica più diffusa al mondo, spesso è sottovalutata o non trattata in modo adeguato, comportando forti ricadute sia sulla salute che … sul portafogli. Spesso il paziente non si accorge di avere una carie, che causa dolore solo quando è arrivata in profondità, per questo è importante la regolarità nei controlli periodici presso lo studio dentistico , per poterne diagnosticare celermente l’eventuale presenza con gli appositi strumenti. Grazie alla tecnologia di ultima generazione siamo in grado di diagnosticare le carie invisibili ad occhio nudo o quelle presenti in zone non visibili ( tra un dente e l’altro), utilizzando un sensore laser totalmente indolore che garantisce una diagnosi precisa al 100%. Una volta individuata, la carie verrà eliminata e il dente ricostruito utilizzando speciali resine composite, atossiche e altamente estetiche.

 
  
  
  
  
  
  
  
 



